Featured Post

View Huawei Band 3 Pro Pret

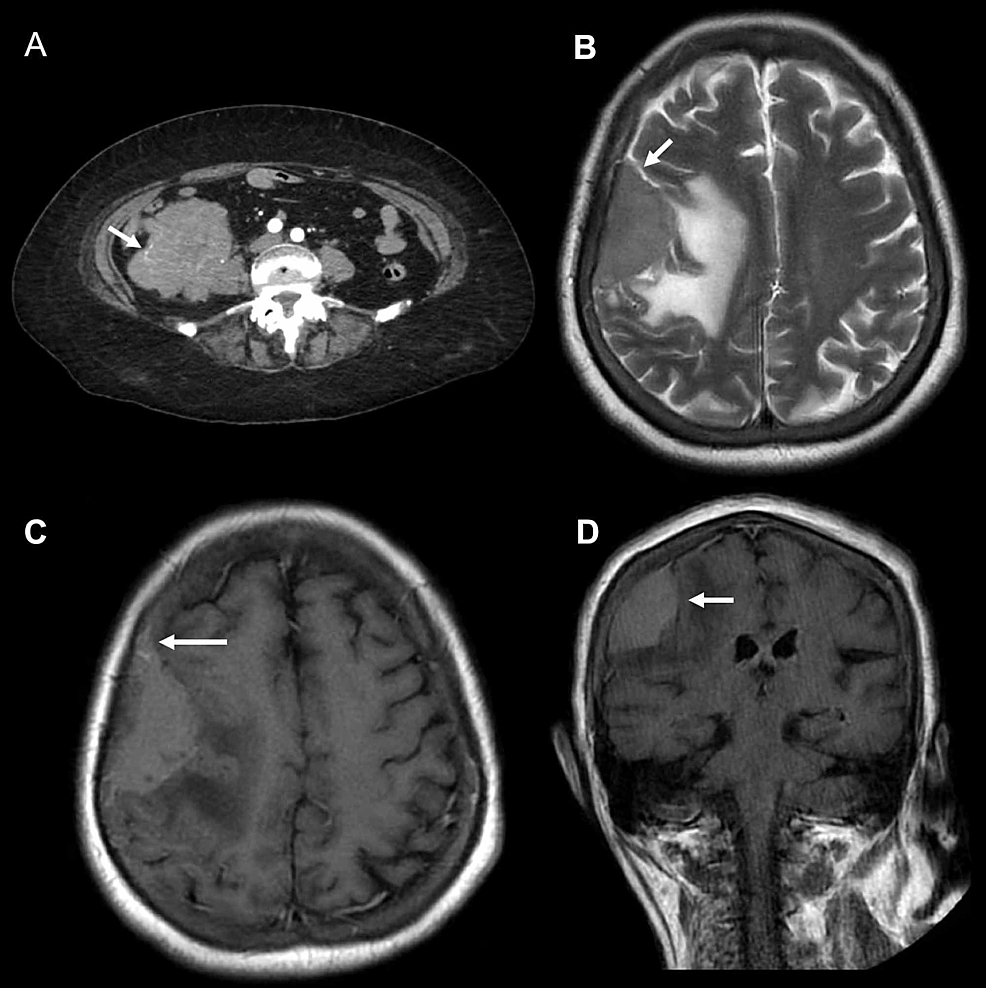
View Secondary Lymphoma In The Brain UK

View Secondary Lymphoma In The Brain UK. Lymphoma is a cancer that starts in the lymphatic system. Three types of lymphoma of the central nervous system are known:

Secondary CNS lymphoma | Image | Radiopaedia.org
Secondary CNS lymphoma | Image | Radiopaedia.org from prod-images-static.radiopaedia.org
Lymphomas are tumours caused by the uncontrolled growth of the lymph cells. Because of new treatments for aids. When lymphoma has originated in other parts of the body and subsequently has spread to the cns, it is referred to as secondary cns lymphoma.

Read about cns lymphoma treatments and where to get support.

It is very important that you find the right help if you have cns lymphoma, or if. Primary central nervous system (cns) lymphoma is a disease in which malignant (cancer) cells form in the lymph tissue of the brain and/or spinal cord. Meningeal involvement occurs commonly in patients with secondary lymphoma; Lymphomas are tumours caused by the uncontrolled growth of the lymph cells.

Comments